Children and Adult Scoliosis & Hyperkyphosis Treatment With Customized Braces, Corrective Exercises and Tailored Taping in Lafayette Louisiana
A non-surgical scoliosis treatment (with or without) bracing for adults who want to be pain free, improve posture and reduce fall risks. For parents who want their kids to avoid surgery and reverse progression. Spinal Adjustments alone are not enough, read below to see the Louisiana difference.

You’re Picking The Right Clinic
Dr. Trosclair has 5 years of hospital experience and offers same day appointments.
Below is the summary of this whole page
Brace Treatment
A 3d CAM/CAD Over Corrective brace like ScoliBrace actually is 100% custom made to your body size and curves. It consistently reduces the curves because it puts the curve in the opposite direction. Stopping surgery isn’t enough, let’s reduce the curves.
Listen to Dr. Trosclair go in-depth on Scoliosis Management on this podcast episode.
Get a lot of questions answered from Dr. Trosclair on this podcast epsiode.
Skip to the Facts and Research of Scoliosis and Hyperkyphosis- Click Here
- In-Brace Correction is normally 48% but we could see 63%.*
- Out-of-Brace curves achieved 37.60% improvement if their curves are 20°-40°.
- Results: curve correction: 76.9%, curve stabilization: 23.1%, curve progression 0%
References:
1. Optimising Full-time Brace Treatment of Idiopathic Scoliosis (IS) using In-Brace Correction (IBC) as a predictor of brace efficacy. A J Mills , S V Hewitt, A A Cole. British Scoliosis Society November 2022.
2. Can Modern Bracing Achieve True Cobb angle Correction in Idiopathic Scoliosis (IS)? A J Mills , S V Hewitt, A A Cole. British Scoliosis Society November 2022.
3.*can not guarantee these results

Scoliosis is First found in children
Common Scoliosis Treatment for ChildrenWait and See
The earlier you find scoliosis in a kid, the better chances of stopping the progression. Waiting and seeing if it gets worse is missing a great window of opportunity to start care while it is easier and less costly to manage. It’s common for a curve to go from small to mandatory brace in 6 months if the child had a growth spurt.
Special Scoliosis Exercises
Most physical therapists and chiropractors learned the bare minimum in scoliosis exercise and stretching. Stretch the tight side and strengthen the weak side is barely scratching the surface and while general strength and flexibility is important, this approach will not suffice. You need a certification like ScoliBalance that can create mirror image -over-correction exercises to see a real and lasting difference in curve reduction.
3d CAM/CAD OverCorrective Bracing
Not all scoliosis braces are made the same, and they don’t all work. A common type of brace is a 3-point Boston brace. It just holds the curve in place while you grow, it can still get worse, but stops the need for surgery. However, a 3d CAM/CAD Over Corrective brace like ScoliBrace actually is 100% custom made to your body size and curves. It consistently reduces the curves because it puts the curve in the opposite direction. The child’s curve actually improves with the brace while he/she grows.
Surgery with Rods and Screws
This option should be the last resort or for those curves that are just progressing to fast especially at a young age or causing distress to organs. While the special exercises and braces are effective for most people, there are instances where we just can’t help. I’ve had patients like this and the rods and screws do change a persons life. Not to say they can’t have a normal life, but fusing your spine will be a challenge in their adult life at some point.

Call us at (337) 453-5199 or book online:www.drjustintrosclair.com/bookonline
Do you have scoliosis or Hunched Over Posture?
Early Detection
Signs to look for in your kids. If you see it, call the office.
Scoliosis is a common condition that affects millions of people in North America (3-4%). It can be caused by a variety of factors, from genetics to injury to degeneration of the spine and most of all of unknown cause. The condition causes an abnormal “S” curvature of the spine that typically occurs in the mid back, low back or both. While scoliosis can affect anyone, it is most commonly diagnosed during puberty.
Early detection is crucial in managing scoliosis (females age 8-12, males age 10-14) and preventing it from causing significant back pain and other complications in adulthood.
While scoliosis can be a serious condition, scoliosis corrections can occur and can keep the curves under the 55° threshold for surgery.
Signs you can look for even as a parent are:
- one shoulder higher than the other,
- pants don’t lay even across the child’s hips,
- uneven shoulder blades
- one shoulder blade sticks out more (usually Right side)
- when bending over you see the ribs start to hump.
- (adult signs) hunched over, leans to one side or leans forward
Here are three key takeaways:
- Scoliosis is a common condition that affects millions of people in North America.
- Early detection is crucial in managing scoliosis and preventing it from causing significant back pain and other complications in adulthood.
- Seeking treatment from a specialist is important in managing scoliosis and ensuring the best possible outcome.
- This clinic is the only 1 in the surrounding 4 states (LA, MS, AK, OK, AL & Houston) to have the same ScoliCare® certifications.
Book an Appointment
It’s never been so easy and convenient to get treated. Schedule online below
Step 1 – Schedule an Appointment
Click on the Box Below to schedule an appointment. Pick Your Favorite Day and Time
Step 2 – Get an Exam & Treatment
Show up at your day/time and get an exam and an amazing treatment
Step 3 – Be Pain Free & Doing Activities
Start getting pain relief and back to the lifestyle you deserve and missed.
Call us at (337) 453-5199 or book online:www.drjustintrosclair.com/bookonline

Reasons to Try Here

- ScoliBalance Corrective Posture Exercises
- Your posture will improve
- ScoliBrace can help to prevent scoliosis from getting worse.
- You’ll have less pain and discomfort.
- You’ll be able to get back on your feet and live life the way you want to
- ScoliRoll to help with de-rotation and flexibility
- Brace is hidable during school hours
- Reduce Fall Risk by correcting Hyperkyphosis and side leans
- Alternative to Injections and Surgery
If you have scoliosis or degenerative disc disease and have been told that surgery is your only option, there is hope. Our clinic offers innovative scoliosis treatment options that can correct abnormal posture caused by scoliosis, hyper-kyphosis, relieve back pain, and improve overall posture.
Dr. Trosclair has 5 years of hospital experience and offers same day appointments.
German Taping Technique
Developed in Germany and mastered by Dr. Justin during a two-year training period at the original clinic, our unique scoliosis taping technique is placed directly on your skin and worn for 5 days at a time (yes you can shower with it on). It is not only effective but also discreet, with no one knowing that you are wearing it.
In addition, our massage is focused on specific muscles and adjustments to increase spinal mobility is a quick way to balance hips and reduce pain. This helps people regain mobility and enjoy an active lifestyle again. Discover the alternative scoliosis treatment that you can only find in South Louisiana.

ScoliBalance – The Leading Over Corrective Exercise System
Dr. Justin is certified in the leading corrective scoliosis exercises from ScoliCare (based in Australia) called ScoliBalance. This method takes the five most well-known scoliosis therapies (Schroth, SEAS, Clear, etc.) and combines them with the SOSORT guidelines as well as using clinicians practical experience that brings about the best results for scoliosis.
ScoliBalance combines corrective motions called Over Correction or Mirror Image based on your curves & posture as well as specific exercises and mild home traction to bring about 3D changes in the spines of both children and adults. The technical term is Physiotherapeutic Scoliosis Specific Exercises (PSSE).
By combining all 3 methods, ScoliBalance is able to help kids and adults see real postural and structural changes. Adults see a reduction in pain, more mobility and can their posture improves which can reduce the chance for falls.
Dr. Justin is knowledgeable about all aspects of this condition and can provide personalized recommendations for your unique needs.
If you’re looking for relief from scoliosis symptoms, contact us today! Our chiropractic methods along with bracing and exercises for scoliosis are designed to help you achieve real postural and structural changes, without compromising your lifestyle, daily routines and stopping the need for spine surgery.

Call us at (337) 453-5199 or book online:www.drjustintrosclair.com/bookonline
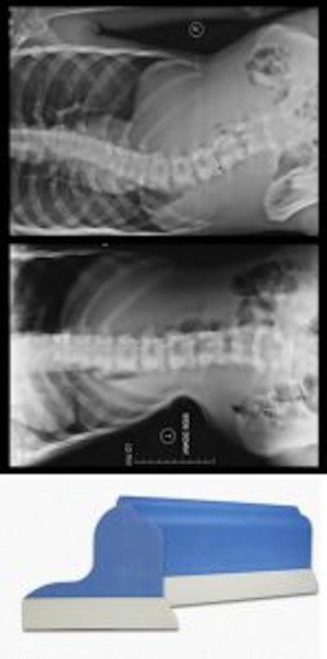
ScoliRoll – Effective Scoliosis Treatment Aid for Improved Flexibility and Stabilization
See What 20 Minutes a Day Laying on A Piece of Foam Can Do For Your Curves
ScoliRoll® is a scoliosis treatment aid developed by Denneroll Industries and ScoliCare, designed to complement other therapies like exercise programs and bracing. It utilizes a patented Denneroll peak to de-rotate and straighten scoliosis curves, allowing for muscle and ligament stretching as well as spinal stabilization exercises. ScoliRoll also serves as a diagnostic tool to assess scoliosis curve flexibility, aiding in determining potential correction levels. The device is available in versions tailored for lumbar and thoracic scoliosis curves.
- Curve Straightening and Spine De-rotation
- Complements other scoliosis therapies
- Helps stretch muscles and ligaments, improving spinal flexibility
- Acts as a diagnostic tool to assess scoliosis curve flexibility
- Light Weight and Durable

ScoliBrace – Specialized Over-Corrective Bracing Using 3d CAM/CAD Technology
Why ScoliBrace Is the Best Choice for Your Patients
ScoliBrace is a 3D custom-designed brace that utilizes an over-corrective approach and spinal coupling to achieve superior results in the non-surgical treatment of scoliosis. It is manufactured with cutting-edge CAM technology, ensuring accuracy and consistency of quality throughout the manufacturing process. Patient-friendly in design and available in unique colors and patterns, ScoliBrace has shown superior clinical results in reducing curves, improving posture and body symmetry, reducing pain, and enhancing appearance. Its approach combines the best technology, evidence-based techniques, and experienced clinicians to achieve the best possible outcomes for scoliosis patients. It’s also barely noticeable under your clothes.
Now Offering TWO New Options
CMP Brace
You deserve the best path forward for your spine. When it comes to managing scoliosis, we know you’re looking for proven solutions that fit your life and your budget. That’s why we’re excited to now offer the CMP Brace as an accessible alternative to our gold-standard ScoliBrace. The CMP Brace uses advanced 3D postural over-correction technology with specialized curve classification (31 options) that treats your spine in all three dimensions—not just squeezing it from the sides like older braces. Each CMP Brace is custom-designed by specialists using CAD/CAM technology and has been clinically proven effective in over 25 independent trials. It’s worn 20 hours per day and can help reduce curves, slow progression, or even help you avoid surgery altogether.
While the CMP Brace offers excellent results at a more accessible price point, our ScoliBrace remains our premier option for those seeking the absolute highest level of customization and corrective potential. ScoliBrace uses ultra-advanced 3D scanning with BraceScan technology and proprietary design algorithms to create a truly one-of-a-kind brace that harnesses spinal coupling for superior correction. It’s designed to allow natural movement (not immobilize your spine), comes with front-opening convenience, and can be personalized with colors and patterns. Think of the CMP Brace as your reliable, clinically-proven partner in fighting scoliosis—and ScoliBrace as the ultimate custom solution when you want every possible advantage. We’re here to guide you toward the option that’s right for your unique curve, your goals, and your life.
Scoliosis Activity Suit

You shouldn’t have to choose between managing your pain and living your life. If you’re an adult dealing with scoliosis discomfort, you know the daily struggle—the nagging ache, the fatigue, the fear that your curve might worsen. Maybe you’ve tried everything, or perhaps you live too far away to come in for weekly German kinesiology taping sessions that provide temporary relief. What if there was a way to get continuous support without the restriction of a traditional brace, without weekly appointments, and for less than $1,000? The Scoliosis Activity Suit isn’t a brace at all—it’s exercise equipment you wear while living your normal life. Just 1-5 hours a day while you walk, work, or go about your routine, and it actively retrains your spinal muscles to reduce pain and stabilize your curve.
Unlike braces that immobilize, the Activity Suit works with your body’s natural movement patterns to create new muscle memory, engaging those deep spinal muscles that support proper alignment. For our patients who travel 2+ hours to see us, this is the perfect complement to your German kinesiology taping—especially if you can’t come consistently. While curve reduction is important, this option prioritizes what matters most to you right now: pain relief, improved daily function, and the confidence that you’re actively doing something to help your spine. And at under $1,000, it’s an accessible solution that fits both your budget and your lifestyle, giving you the support you need without sacrificing your freedom.
Fees & Services
New Patient Visit
$175 / first visit
- Consultation
- Orthopedic & Neurologic Exam
- Treatment – Adjustments
- Cold Laser/ Kineisology
- Taping/ Stretches
- Percussion Massage/ Exercises
- Each Visit is 40-50 minutes
- PSSE Exercises / Stretches
Follow Up Visits
$139 per follow-up
- Chiropractic Adjustment
- ScoliBalance
- Corrective Posture
- ScoliRoll Home Traction*
- Muscle Work*
- Cold Laser*
- Scoliosis Specific Taping*
- PSSE Exercises / Stretches*
- * if needed
- Each Visit is 25-45 minutes
Adjustment Only Package
$945 for 8 visits
- 15% Savings = $118/visit
- Avg $118 per visit not $139
- Same Treatment Options as Follow-Ups
- Expires in 4 Months
- 15% Off Physical Products*
- 15% Off Classes
- Free Copy of Dr. Justin’s Book
- Each Visit is 25-45 minutes
- *excludes ScoliBrace
Good Faith Estimate information can be found here. If you are looking for pricing on the following services, just click the name: shockwave, scoliosis, or decompression.
Call us at (337) 453-5199 or book online:www.drjustintrosclair.com/bookonline
Testimonials
What Our Patients Say
ScoliBalance: Combing the 5 Best Scoliosis Therapies using SOSORT guidelines
Every Curve & Patient is Unique
ScoliBalance is a physiotherapeutic scoliosis specific exercise (PSSE) program that combines the most effective practices in physical therapy, chiropractic, and exercise rehabilitation to provide an individualized 3D approach to managing scoliosis. The program provides patients with a scoliosis-specific exercise program based on their curve type and postural characteristics, which also addresses any relevant functional weaknesses. ScoliBalance can be used as part of a complete approach to care for patients with scoliosis or kyphosis, and may assist in slowing down/stop curve progression, improving muscular balance, reducing pain, improving posture and body appearance, and improving standing balance and reducing fall risk in older adults.


ScoliRoll: A Reliable Aid for Increasing Spinal Flexibility
What is ScoliRoll?
ScoliRoll is a specialized scoliosis treatment device created by Denneroll Industries in partnership with ScoliCare. This innovative aid is designed to complement other scoliosis therapies, such as the physiotherapeutic scoliosis specific exercsises and fully customized to you ScoliBraces. Its patented Denneroll peak generates a precise bending force that helps de-rotate and straighten the spine, facilitating muscle and ligament stretching and enabling spinal stabilization exercises while maintaining a corrected position.
Additionally, ScoliRoll® serves as a diagnostic tool to evaluate the flexibility of scoliosis curves, providing clinicians with insights into the potential extent of curve correction achievable through rehabilitation or bracing.
How does it work?
The ScoliRoll utilizes its patented Denneroll peak to assist in:
- Straightening scoliosis curves
- De-rotating the spine
- Stretching ligaments, which is particularly beneficial for patients with stiff scoliosis curves to enhance spinal flexibility
Adults & Elderly Can Need A Brace Too
ScoliBrace for Adult & Elderly Scoliosis
The goals of braces in adults are a bit different than in children.

Doctors are no longer trying to prevent the worsening degrees of the S shaped curvature. They are no longer trying to just “get you through” the final growing stages of puberty and you have a more stable spine curve. Braces can give you more balance and less fall risk.

The braces are designed to take the stress of the muscles and ligaments and give your body a little break and get some pain relief. The brace should be used along with scoliosis specific exercise to try and strengthen the spinal muscles to help maintain a corrected posture, which again helps with pain.

Exercises are recommended as part of any therapy plan because they help strengthen muscles in the torso which can ease some discomfort associated with scoliosis. Using ScoliBalance we can help improve the curve too.
Pain Relief
Scoliosis can cause chronic pain in the back, shoulders, and hips. A brace can help to relieve this pain by reducing the pressure on the spine and supporting the muscles and ligaments. Many adults did not know or did not receive proper treatment for scoliosis as a kid. The curve progresses about 1-2 degrees per year. After 30 years the curves can get quite severe and painful if left untreated. Wearing a brace gives you immediate support and the exercises build your spinal strength. Adults only wear it for 3-6 hours so it’s convenient too.
Improving quality of life:
Scoliosis can have a significant impact on an individual’s quality of life, affecting their physical abilities, self-esteem, and emotional well-being. Treatment and a brace can help to improve overall quality of life by reducing pain, improving posture, and preventing further complications. Adults and elderly see a boost in self-esteem and confidence when they are upright and not leaned over.
Preventing Progression
Scoliosis can worsen over time in adults, leading to more severe spinal curvature and potentially causing other health problems. A brace can help to prevent further progression of the condition and maintain the current level of curvature. We see many adults get over 6° correction, which is all a life changing surgery considers a success. In addition to preventing/slowing further progression of the condition, wearing a brace can also help to improve cosmetic appearance of the spine and less rib humping, which can be particularly important for individuals who are self-conscious about their scoliosis and how it affects their physical appearance.
Restore Balance – Prevent Falls
As people age, their balance and stability can naturally decline, making them more susceptible to falls and injuries. However, older adults with scoliosis may be at an even greater risk of falling due to the imbalance and uneven posture caused by the condition. If an older adult is hunched over or leaning to the side, this can also affect their center of gravity, making them more likely to lose their balance and fall. Falling can be especially dangerous for older adults, as they are more likely to experience fractures or other serious injuries, such as a hip fracture, which can lead to significant disability and a decrease in quality of life. Wearing a brace can provide support, stability, and restore balance to decrease their risk of falling and injuring themselves


(337) 453-5199 or book online:www.drjustintrosclair.com/bookonline

Check If Your Curve Will Progress with The Curve Progression Risk Calculator
A clinic in California has a wonderful educational curve progression risk calculator. Click to see what you or your child’s risk may be of getting worse and leading to surgery.
Keep this page open so you can call or make an appointment locally here in Louisiana.

Articles about Scoliosis Awareness Month in June
- Scoliosis Awareness Month – Understanding the Significance – for patients
- Getting Ahead of the Curve: The Importance of Early Scoliosis Detection – for patients
- Treating Scoliosis: Effective Interventions and Best Practices – for doctors
- Understanding Scoliosis: Identifying Symptoms and Promoting Early Diagnosis – for doctors
- Scoliosis: A Year-Round Commitment – for patients
- Looking Beyond the Curve: Embracing Comprehensive Care – for doctors
You Deserve the VIP Treatment
Call or Schedule Online Below
Objections to Bracing
We offer different option
Are you suffering from scoliosis and experiencing pain in your spine? Don’t let your condition go untreated and potentially worsen. Many people don’t want to wear a body brace but need an alternative treatment option. While ScoliBrace combined with Scoli Balance is the best option, we get it, some people just can’t wear it for a variety of reasons. Our clinic offers Scolibalance, that can help alleviate pain and bring about 3D changes in the spines of both children and adults as well as the innovative German Taping Technique and Scoliroll. When injections and surgery aren’t options, now you have hope with a new plan.
One thing we know for certain, adjustments alone don’t work. Scoliosis progression, a worsening curve, is bound to happen if you just do a ‘wait and see’ approach. Adults know leaning to one side or hunched over (hyper-kyphosis) is not comfortable and creates a fall risk.
Scolibalance focuses on resetting abnormal muscle patterns by the doctor guiding you through specific postural corrections tailored to your exact spine, performing spinal adjustments, percussion massage and using kinesiology tape to support new corrections. By relaxing overly tight problem areas and waking up overly stretched areas, we can help your body reset to what is actually normal.
As an adult, you still have all the above issues with wearing a brace, but now you are at a work place and have to wear more appropriate clothing. Sure, adults aren’t going to tease you like a 12 year old but it gets old explaining why you are wearing it and feels like an invasion of privacy talking about your back pain and how you can’t do the things you like anymore.
Spinal adjustments are not enough to see postural corrections in scoliosis. What Dr. Justin learned in Germany is quite unique and we’ve seen results without braces. Combining that with ScoliBalance and ScoliRoll and it’s mirror image postural corrections, exercises and traction, the results have been astonishing. He offers a unique service in the Lafayette, LA area (as well as MS, AK, AL, TN, OK and LA). Dr. Trosclair offers 1 on 1 care and not a rushed appointment.
Alternative to Bracing
Discover the pain-relieving and posture- improving benefits of the Unique Scoliosis Taping Technique developed in Germany.

1. Dr. Justin is certified in the corrective scoliosis exercise method, ScoliBalance, which combines the five most well-known scoliosis therapies with SOSORT guidelines and clinicians’ practical experience.
2. ScoliBalance includes corrective motions called Over Correction or Mirror Image, specific exercises, and mild home traction to bring about 3D changes in the spine.
3. This method helps both children and adults to achieve real postural and structural changes, with adults also experiencing a reduction in pain, improved mobility, and improved posture that can reduce the chance for falls.
Do you have scoliosis since childhood? Regardless if you wore the brace or not, as you age and life’s daily grind stacks up over the years, pain in the low back, between the shoulders and neck may have started creeping in. In fact, as time goes on you may find that the curve has slowly gotten worse, whether that’s because the curves are more visible to others or not. The fact is that curves from adolescent tend to worsen 1-2 ° per year especially if the curve is over 30°.
Scoliosis can be a frightening condition that can impact every aspect of your life. Scoliosis can lead to chronic pain, breathing difficulties, and even deformities that can be socially isolating. But the worst part is, if left untreated, scoliosis can get worse over time, coupled with arthritis, leading to more severe pain and discomfort.
If you’ve been struggling with scoliosis, you know how frustrating it can be to find relief. Exercise and stretching may seem like logical solutions, but they often fall short of providing lasting relief. That’s because scoliosis is not just a spinal issue; it’s a problem that involves the entire musculoskeletal system. In other words, you need a comprehensive treatment plan that addresses the root cause of the problem.
At this stage of life (adults and seniors), wearing a brace is probably the best option but let’s face it,
– you may not want to alter your wardrobe
– answer others’ questions as to why you are wearing a brace
– you are worried about being hot (even though adults wear it only 3-6 hours a day)
– difficult to find time too wear it
– work duties are overly difficult with a brace

The Taping Technique I offer you was developed in Germany and I spent two years mastering it. We not only get pain relief and muscle support, but we see functional posture improvements. That means you look and feel straighter. It was common for family members to mention to our patients, “Something is different, you seem taller and straighter.”
This innovative German Taping Technique is placed directly on your skin that you wear for 5 days at a time and no one will know you are wearing it. There are no moving parts, no hot plastic around you and nearly everyone does not get an allergy to the tape, plus you can shower with it.
Not only is the method not visible to others, but it helps wake up and strengthen weak muscles, reduce tightness in joints, and retrain asymmetrical muscle development.
Combine the tape with spinal adjustments to increase flexibility, vibration massage to very specific muscles and corrective curve posture exercises from ScoliBalance (Dr. Justin is Certified), and you can see in adults that they stand taller and have better balance to reduce fall risks. While adults usually don’t have to worry about progressing to surgery, the curve does typically get worse by 2° each year. Because of the combined therapy options offered at Scoliosis Center of Louisiana, patients see the improvements they have been searching for and may have given up finding.
Doing Nothing? How’s That Working For You – Call/Text for a consultation. We Can Help!
Basics of Hyperkyphosis

Types
- Not just a slouch or humping
- (it’s a bone deformity)
- Scheuermann’s disease can lead to permanent structural changes
- Poor self-image
- Postural (flexible)
- Age-related (degenerative)
● Post-traumatic
Early Intervention
- Prevent progression in younger patients
● Improve balance and stability in elderly patients
● Reduce pain and discomfort
● Enhance breathing capacity
● Maintain or restore independence
● Decrease fall risk through improved posture and balance
In Elderly
- Increased fall risk from compromised balance
- Higher rates of hip and vertebral fractures
- Reduced mobility and independence
- Compressed internal organs affecting breathing and digestion
- Social isolation due to physical limitations
A study published in the Journal of Bone and Mineral Research found that elderly individuals with severe hyperkyphosis have a 1.44 times higher risk of falls and subsequent fractures. These falls often lead to hip fractures, which carry a troubling 25-30% mortality rate in the first year post-injury. Additionally, increased forward head posture strains neck muscles, leading to chronic pain and further balance issues.
KyphoBrace Benefits
- Custom-designed using 3D scanning CAM/CAD technology for a brace
- Specifically engineered for forward curve correction
- Comfortable front-opening design with movable shoulder paddles
- Available in various styles and patterns
Specialized Exercise Protocol
- Extension-based movements
- Postural awareness training
- Breathing exercises
- Core strengthening
- ScoliBalance customized for hyperkyphosis curves
Timing is Crucial: Early Intervention Before Rapid Growth Can Be The Difference of Surgery or Not
Understanding the Basics of Scoliosis
Scoliosis is a condition in which an individual’s spine has lateral, or side to side curvature and rotation, and can occur at many levels of the spine.
Mild scoliosis has a risk of progression 22% after curve reaches 20°, and symptoms include tilted head, uneven shoulders or hips, forward head posture, uneven leg lengths, and cosmetic deformity
80-85% of scoliosis cases are idiopathic, and scoliosis can also be classified as congenital or neuromuscular.
Moderate scoliosis has a higher risk of progression (68%) than mild scoliosis, and symptoms include more uneven shoulders or hips, bigger rib hump, fatigue after physical activity, pain in the spine and headaches. Bracing is the most common treatment, over corrective braces like ScoliBrace work best.
Scoliosis can be mild 10° to 25°, moderate 26° to 40° or severe above 40°, depending on the degree of the spinal curvature.
Severe scoliosis has a 90% risk of progression, and symptoms include a visibly curved spine, torso rotation, rib hump, fatigue, clumsiness, pain, and headaches. Surgery is often recommended for severe scoliosis.

Growth and Interventions To Prevent Surgery
Non-surgical scoliosis treatment in children and adolescents
- Scoliosis treatment in children and adolescents can be done effectively without surgery, and no curve should be ignored.
- Comprehensive scoliosis treatment allows the child to stay in control of the scoliosis by addressing the root cause, using a brace and scoliosis exercises.
- Scientific research contradicts “watch and wait” as a safe treatment, and instead recommends early intervention comprising of physiotherapy and bracing to avoid surgery in most cases.
- The best treatment is prevention by treating scoliosis the moment it is discovered.
Utilizing growth spurt to straighten the spine
- Adolescent idiopathic scoliosis worsens rapidly with growth, but the pubertal growth spurt can be utilized to straighten the spine instead of allowing it to worsen.
- The faster a child grows, the faster scoliosis worsens/ progresses.
- The peak rates of growth occur within a very small time frame of 1.5 – 2.5 years, which is the window of opportunity. This is where most scoliosis cases are either won or lost.
Early detection and intervention
- The success rate of scoliosis treatment is directly related to how early treatment begins.
- The longer scoliosis is present, the more “stuck” it becomes due to ligaments and muscles becoming short and stiff, and bones becoming asymmetric.
- The younger the child and the larger the scoliosis, the greater the risk of progression.
- Determining a child’s Risser helps determine where they are in their growth, as well as their risk of progression.
- It is important to take into consideration multiple factors when assessing the risk of scoliosis progression and potential need for treatment, including the magnitude and pattern of the curve, age, gender, and skeletal maturity.
Bracing as an effective treatment option
- A brace is the only tool proven to work for curves over 25 degrees.
- Successful brace treatment depends on how straight the brace makes the spine.
- Multiple recent scientific studies have confirmed that bracing has been shown to be effective when worn 23/7.
- The smaller the curve can become before adulthood, the less it will potentially progress in adulthood.
- The Non-surgical treatment options such as ScoliBrace, ScoliRolll traction device and specialized exercises, ScoliBalance, have been shown to be effective in preventing or slowing scoliosis progression and improving spinal alignment.the curve can become before adulthood, the less it will potentially progress in adulthood.
Meet Dr. Justin Trosclair
chiropractor with hospital experience

Dr. Trosclair, a proud native of Breaux Bridge, his academic journey started at LSU before earning his Doctor of Chiropractic degree from the esteemed Texas Chiropractic College (TCC) in 2007. With a successful six-year tenure at his private practice in Denver, CO, Dr. Trosclair then sought to expand his horizons internationally.
He spent five transformative years at a hospital in Yunnan, China, where he was integral to the Traditional Chinese Medicine Department. His pursuit of excellence led him to Germany, where he honed a unique scoliosis chiropractic technique over two years in a private clinic. Dr. Trosclair now holds advanced training in 3D overcorrection exercises and braces through the cutting-edge ScoliCare approach.
With an impressive track record of treating over 9,500 patients, Dr. Trosclair is a seasoned expert in alleviating neck and back pain through precise chiropractic adjustments, muscle therapy, and customized exercise plans. His extensive experience and dedication ensure that each patient receives exceptional care tailored to their specific needs.
Dr. Trosclair’s commitment to providing top-tier VIP chiropractic care makes him a trusted choice in Acadiana. Take the first step towards a pain-free life and a straighter spine and schedule your appointment today. Experience the difference the right care can make.
Dr. Justin’s Authored Books and Past Interviews

5 Monthly Lectures -Shanghai Qiangzhi Hospital
Hands-on Workshop – SuiYang, China
Lecture at 4th Annual WRDCA – TianJin, China
Podcast host 270+ Episodes
5 years in China (hospital based)
2 years in Germany (scoliosis focus)
Direct episode on Scoliosis and Kyphosis Management

Today’s Choices Tomorrow’s Health : a 4 way health reboot and blueprint on how to make lasting changes
Needle-less Acupuncture : 40 DIY conditions that can be managed from home
Chinese Dinner Culture : dinner is a huge part of their culture and I guide you through to gain face
Kid’s Animal Coloring Books : over 200 pages of animals and insects that kids can color that have the name in 5 languages
Balanced Success Journal: A Daily Reflection and Planning Journal for Balance, Productivity, and Personal Growth
Finding Home: Kid’s book about accepting your diversity and building self-acceptance.
Outside The Clinic: Marriage guide for healthcare professionals
NonSurgical Scoliosis Solutions: My 60 page guide on scoliosis and hyperkyphosis management
Call Now To See How We Can Help
Don’t Hesitate – This New Taping and Exercise Technique Works But It Takes Time
We treat the problem areas that are too tight so they relax. We wake up the overly stretched area to regain it’s normal elasticity. In adults we then use the kinesiology tape in very unique patterns to functionally support these new correct changes. Typically providing great pain relief and a feeling of support. Call today to talk to Dr. Trosclair, especially if you are in the LA, MS, OK, AK, TN, KS, KY or Houston area about how we can work together to fight scoliosis, contact our office today at (337) 453-5199.

Does your child have scoliosis? Are you an adult struggling with long-standing scoliosis pain? Or perhaps an older adult concerned about rapid progression and fall risk? You’re not alone. Dr. Trosclair can help.
Dr. Trosclair is a chiropractor in Lafayette Louisiana with over 17 years of experience, including work in a hospital setting. They specialize in helping people of all ages manage scoliosis and improve their quality of life.
Whether you’re a parent seeking hope for your child to avoid surgery, an adult wanting to manage pain and prevent progression, or over 65 years old desiring improved posture and reduced fall risk, Scoliosis Center of LA offers personalized treatment plans tailored to your specific needs.
Their approach, potentially including techniques like Scolibalance and ScoliBrace, can help manage pain, prevent/slow curve progression, improve posture and curves, and enhance overall well-being. Don’t let scoliosis control your life.
Schedule a consultation today and explore how Dr. Justin Trosclair can help you take control of your scoliosis journey. Call now at 1 337 453 5199 or visit www.drjustintrosclair.com/bookonline to book online directly.






